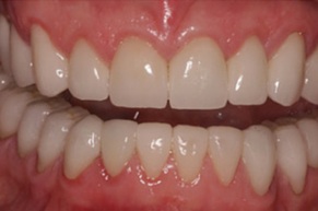
Full Mouth Rehabilitation Process
Full mouth reconstruction, full mouth rehabilitation and full mouth restoration are terms often used interchangeably to describe the process of rebuilding or simultaneously restoring all of the teeth in both the upper and lower jaws.
Full mouth reconstruction typically involves general or restorative dentists (performing procedures like crowns, bridges and veneers), and can incorporate dental specialists like periodontists (specializing in the gums), oral surgeons, orthodontists (specializing in tooth movements and positions) and endodontists (specializing in the tooth pulp).
The need for full mouth reconstruction may result from:- Teeth that have been lost due to decay or trauma.
- Teeth that have been injured or fractured.
- Teeth that have become severely worn as a result of long-term acid erosion (foods, beverages, acid reflux) or tooth grinding.
- Ongoing complaints of jaw, muscle and headache pain requiring adjustments to the bite (occlusion).
Full Mouth Rehabilitation Process
- Teeth : The condition of your teeth will determine what restorative procedures may be needed, such as porcelain veneers or full-coverage crowns, inlays or onlays, bridges or implants restored with a crown. In particular, your dentist will make note of any cavities and decay, tooth wear, cracks, short/long teeth, root canal issues and any tooth movement.
- Periodontal (gum) tissues : If your gums are not healthy, you will most likely need scaling and root planing to treat periodontal disease. You may require more intensive treatments from a periodontist to ensure that your newly reconstructed teeth will have a solid foundation. Such treatments could involve soft tissue or bone grafts to build up your gums and underlying jaw bone. Your dentist will look for deep pockets, excessive or insufficient gum tissue, periodontal disease and bone density irregularities.
- Temporomandibular joints, jaw muscles and occlusion : A stable bite - one in which you are not in pain when you close your mouth or chew and one that does not cause wear or destruction of your teeth - is important to your overall oral health. Occlusal changes need to be taken into consideration when your dentist plans your restorations. In fact, you may require orthodontics or some other type of treatment (night guard or bite reprogramming orthotic) to correct occlusion before additional restorative procedures can be performed.
- Esthetics : The color, shape, size and proportion of your teeth, and how they appear in relation to your gums, lips, mouth, side profile and face, are also important factors in full mouth reconstruction treatment.
The examination process requires records of your mouth, such as X-rays and photographs, impressions of your upper and lower teeth, models of your teeth that are made from the impressions and a model of your bite. Your dentist may also refer you to specialists (periodontist, orthodontist, oral surgeon) for a consultation in order to develop a treatment plan that is best for you.
Once your dentist has obtained all information relevant to your case, he or she will develop a comprehensive, step-by-step treatment plan to correct all of the problems in your mouth and complete your full mouth reconstruction. If you do not understand the procedure being described to you, ask for a detailed written description of the proposed treatment plan so you can review it. This can be helpful if you want to get a second opinion. Be sure you understand the risks and benefits of the recommended procedures and treatments.
-
What Procedures Are Needed for Full Mouth Rehabilitation?
Only your dentist and the team of specialists working on your full mouth reconstruction can determine what procedures are needed for your specific case. Other treatments may also be available, so ask your dentist about all possible procedures that might be required for your case and under what circumstances.
Most full mouth reconstructions involve multiple phases and office visits. It is not unreasonable to expect treatment to take 12 months or more, depending on your situation. The following procedures may be involved, depending on your needs:
- Prophylactic teeth cleaning and periodontal care.
- Crown lengthening to expose healthy, sound tooth structure for possible crowns or bridges.
- Orthognathic surgery to reposition the jaw.
- Contouring of the gum tissue to create balance and harmony in your smile.
- Preparation (reduction) of your natural tooth structure so crowns, bridges or veneers can be placed.
- Placement of temporary restorations so you can become accustomed to your new teeth and the feel of your new mouth or bite alignment.
- Placement of permanent restorations, such as crowns, veneers, inlays/onlays or bridges, made from ceramic, ceramic supported by metal or a combination of both.
- Orthodontics (braces) in order to move your teeth into the optimal position for reconstruction.
- Implant placement and restoration to replace missing teeth and/or anchor bridge restorations.
- Bone or soft tissue grafting to enhance the stability of your teeth, proposed implants and/or other restorations.
